阴道酵母菌感染的病因是什么?

阴道酵母菌感染的病因是什么?

 

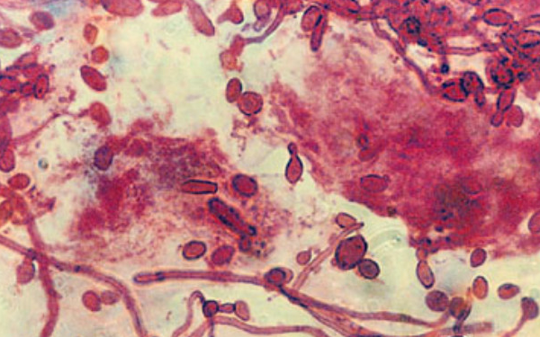
对育龄女性来说,白色念珠菌引起的酵母菌感染非常普遍。该菌常驻留在皮肤和肠道中。念珠菌可从这些区域迁移到阴道。真菌感染不是性传播疾病。

 

阴道酵母菌感染更容易发生在以下女性身上:

 

* 孕妇

* 患有糖尿病

* 免疫系统减弱——被药物(如皮质类固醇或化疗药物)抑制或被疾病(如 艾滋病[AIDS])损害

* 正在服用抗生素

* 口服抗生素会杀死阴道内正常存在的并抑制酵母菌生长的菌落。因此使用抗生素会增加酵母菌感染的风险。


阴道酵母菌感染的病因是什么?

 

常发生于月经前。

 

绝经后,酵母菌感染不常见,除非是接受绝经期激素治疗的女性。

相关问题
  • 腮腺炎是通过飞沫传播的常见传染病,目前临床中腮腺炎分为两种,即细菌性腮腺炎和病毒性腮腺炎。而临床中最为常见流行性腮腺炎就是腮腺炎病毒导致的,而自然界...
  • 面临生殖力下降的高龄女性是否均需要通过辅助生殖技术治疗来获得妊娠呢?有研究显示,40岁以后的女性,每提早一年行试管婴儿治疗,其预期成功率显示出明显的提高...
  • 在临床工作中,经常遇到患者和亲属问这个问题:40岁的女性还能通过试管婴儿怀孕生宝宝吗?试管婴儿技术花钱多,周期长,其中的时间成本和情感投入不可估量。如...